• Menu

Gibt es einen spezifischen Wachstumsreiz für den Knochen?

Astronauten verlieren Knochen trotz Medikamenten

Astronauten verlieren in der Schwerelosigkeit des Weltraumes in kurzer Zeit extrem viel Knochen:

  • 25 % Verlust in etwa 3 Monaten,
  • 50 % Verlust in etwa 6 Monaten.

Warum? Weil keine mechanischen Belastungsreize auf den Knochen einwirken. Dasselbe passiert bei konsequenter Bettruhe. Dieser Knochenverlust durch fehlende mechanische Beanspruchung lässt sich auch nicht durch Medikamente aufhalten. Knochenverlust durch Bettruhe - dieses Modell simuliert die Schwerelosigkeit im Weltraum. Es dient der Univer-sität Berlin - Zentrum für Muskel- und Knochenerforschung - in Zusammenarbeit mit der ESA (Europäische Weltraum Agentur) für Forschungszwecke.

Gewichtheber haben eine um 20 - 30 % höhere Knochenmasse als Marathonläufer. Welche mechanische Belastung fördert das Wachstum in der Jugend und erhält den Knochen im Alter? Diese Frage wurde vom bereits erwähnten amerikanischen Orthopäden Frost untersucht und 1987 veröffentlicht.

wachstumsreize Knochen

Der Mechanische Wachstumsreiz für Knochen ergibt sich aus folgenden Belastungsmöglichkeiten:

  • Druck auf den Knochen
  • Zug am Knochen
  • Verbiegung des Knochens
  • Verdrehung des Knochens (Torsion).

Knochen verkürzt sich durch Druck, er verlängert sich durch Zug. Bei Verbiegung des Knochens wirkt Zug auf der konvexen Seite und Druck auf der konkaven Seite.

Bei Verdrehung des Knochens (Torsion) wirkt Zug. Letztendlich bewirkt jede mögliche Belastung eine Verformung des Knochens im Sinne von Druck oder Zug. Die Maßeinheit für die Knochenverformung ist Microstrain (MS): 1000 MS entsprechen 0,1 % Verkürzung (bei Druck) oder Verlängerung (bei Zug) des Knochens.



Knochen Belastungsdiagram

Knochenabbau

Unterhalb einer Knochenverformung von 50 MS wird Knochen abgebaut. Der Sensor (Mechanostat genannt) registriert, dass die vorhandene Knochenmasse nicht benötigt wird. Überschreitet der Abbau eine kritische Schwelle, tritt ein osteoporotischer Knochenbruch ein.

Knochen-Erhaltung

Bei einer Verformung zwischen 50-1000 MS wird der Knochen erhalten. Dies entspricht einer Verformung seiner Länge von 0,005-0,1%. Wahrscheinlich reicht dazu eine solche Verformung pro Woche aus. Jeder Knochen des Körpers sollte mindestens einmal pro Woche dieser Verformung (Belastung) ausgesetzt sein.

Knochen-Aufbau

Bei einer Verformung zwischen 1000 bis etwa 3000 MS wird Knochen aufgebaut. Dies entspricht einer Verformung seiner Länge von 0,1-0,3%. Krafttraining mit maximal möglichen Muskelanspannungen (Nautilus-Trainings-Prinzip) bewirkt Verformung des Knochens in diesem Bereich.



Oberschenkelknochen

Überlastung des Knochens

Bei einer Verformung über 4000 MS ( 0,4 % Längenveränderung) baut der Knochen zunächst FaserKnochen auf. Dieser ist mechanisch minderwertiger als der stabile Lamellenknochen. Dieser FaserKnochen wird nach einer gewissen Erholungszeit in den stabilen Lamellenknochen umgewandelt. Fehlt diese Erholungszeit durch ständige Überbelastung des Knochens, kommt es zu einem Ermüdungsbruch.

Oberschenkelknochen

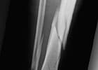
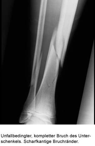
Beispiel: Ein 50-jähriger Mann war sportlich noch nie aktiv. Die Stabilität seines Schienbeines hat sich an die Bürotätigkeit angepasst. Plötzlich beginnt er zu joggen, täglich etwa 6 Kilometer. Ein Ruhetag pro Woche wird eingelegt. Für sein relativ schwaches Schienbein bewirkt das Joggen eine Verformung von etwa 0,4%. Beim Knochenumbau wird der mechanisch minderwertige Faserknorpel aufgebaut. Zeit zur Umwandlung in den festeren Lamellenknochen ist nicht vorhanden, weil der Mann täglich joggt. Nach etwa 3 Monaten tritt ein Ermüdungsbruch des Schienbeines auf, spürbar durch zunehmende Schmerzen bei Belastung, tastbar an einer druckschmerzaften Verdickung des Schienbeines. Das Röntgenbild zeigt den Frakturspalt. Eine Entlastung des Beines über etwa 4-6 Wochen führt zur Ausheilung. Überlastung in diesem Sinne bedeutet eine ungewohnte Belastung. Hierher gehört auch die Marschfraktur von Mittelfußknochen bei Rekruten, die zuvor lange Märsche nicht gewohnt waren.



Oberschenkelknochen

Bruchlast des Knochens

Bei einer Verformung von 25000 MS und mehr bricht der Knochen. Dies entspricht einer Verformung von 2,5 % seiner Länge. Auch bei einem explosivartigen, maximalen Krafteinsatz der Muskulatur wird die Bruchgrenze eines Knochens nicht einmal näherungsweise erreicht. Vorausgesetzt, der Knochen ist gesund.

Knochen ist 3-mal stabiler als Holz

Stahl ist 2-mal stabiler als Knochen

Zum Vergleich: Bruchlast von Holz, Knochen und Stahl. Vorausgesetzt wird, dass alle Materialien den gleichen Durchmesser haben (also z. B. gleich dicke Stäbe, die gebogen werden). Die Bruchlast von Knochen liegt etwa 3-mal so hoch wie von trockenem Holz. Knochen ist also etwa 3-mal stabiler als Holz.

Die Bruchlast von Stahl ist etwa 2-mal so hoch wie von Knochen. Knochen ist also nur halb so stabil wie Stahl.

  • Wie funktioniert die Wirbelsäule?
    • Menu
    • Muskulatur
      • Muskulatur
      • Einleitung
      • Kreuzschmerz: Fett statt Muskeln
      • Was ist ein Muskel?
      • Was kann ein Muskel?
      • Muskelfasern: Wie viele arbeiten?
      • "Positive" und "Negative" Kraft
      • Ausdauer und Kraft
      • Spezielle Trainings-Reize
      • Gesetze der Muskelaktivität
      • Kraftzuwachs nach der Erholung
      • Muskelaufbau und Erhaltung
      • Muskelkater
      • Wie oft sollte trainiert werden?
      • Halbwertszeit von Muskeln
      • Kraft ohne Muskelmasse?
      • Der Muskel als Energieverbraucher
      • Muskelschwund
      • Muskelschmerzen
    • Biomechanik
      • Biomechanik
      • Einleitung
      • Keine Stabilität ohne Muskulatur
      • Die Wirbelsäule als Gliederkette
      • Das Bewegungs-Segment
      • Bandscheiben-Druck und Stabilität
      • Störfaktoren der Stabilität
      • Was passiert beim "Verlupfen"?
      • Kräftiges Gesäß / schwacher Rücken
      • Lasten heben mit rundem Rücken?
      • Krafttraining der Rückenstrecker
      • Bandscheibendruck - Messung
      • Welche BS-Drucke sind normal?
      • Wie ernährt sich die Bandscheibe?
      • Sind Bandscheiben trainierbar?
      • Zentrale Bedeutung der Rückenmuskeln
      • Ihr Rücken - Ihr Auto: Was tun Sie dafür?
  • Direkt zu Ihrem Problem
    • Menu
    • Halswirbelsäule (HWS) Nacken-Schultern-Arme
      • Direkt zu Ihrem Problem
      • Einleitung
      • Warum ist der Nacken so empfindlich?
      • Die bunten Beschwerden der Kopfgelenke
      • Akute Schmerzsteife der HWS
      • Akuter Schulter-Arm-Schmerz
      • Chronische Bewegungseinschränkung der HWS
      • Verspannungen der Nackenmuskulatur
      • Einschlafen/Kribbeln der Arme/Hände
    • Brustwirbelsäule (BWS) und Brustkorb
      • Direkt zu Ihrem Problem
      • Einleitung
      • Vorsicht
      • Akute Beschwerden der BWS
      • Chronische Beschwerden der BWS
      • Stechen im Brustkorb
    • Lendenwirbelsäule (LWS) und Beinschmerz
      • Direkt zu Ihrem Problem
      • Einleitung
      • Hexenschuß – Ischias
      • Akute Beschwerden der LWS
      • Bein-Schmerz und Kreuz-Bein-Schmerz
      • Chronische Beschwerden der LWS
      • Beinschmerz beidseits beim Gehen
    • Bandscheibe (BS)
      • Direkt zu Ihrem Problem
      • Einleitung
      • Keine Angst vor der Bandscheibe
      • Bandscheibenvorfall (BSV)
      • Bandscheibenverschleiß
    • Lähmungen / Schwächen von Muskeln an Armen und Beinen
      • Direkt zu Ihrem Problem
      • Einleitung
      • Definition
      • Testen Sie Ihre Muskeln selbst
      • Ursachen
      • Beschwerdeverlauf
      • Verhaltensregeln
      • Therapie
      • Alarmzeichen - Notfälle
    • Blockade Wirbelgelenk
      • Direkt zu Ihrem Problem
      • Einleitung
      • Definition
      • Ursachen von Blockaden
      • Beschwerdebilder
      • Beschwerdeverlauf
      • Verhaltensregeln
      • Therapie
      • Vorbeugung
    • Körperhaltung und Form der Wirbelsäule
      • Direkt zu Ihrem Problem
      • Die WS - eine Fehlkonstruktion für den aufrechten Gang?
      • Vom Vierbeiner zum Zweibeiner
      • Schwacher Rücken - Krummer Rücken?
      • Muskuläre Dysbalance – sind die Ausdauer-Muskeln schuld?
      • Haltungsschwäche – Haltungsschaden:
        Ist die Schule schuld?
      • Ich habe ein Hohlkreuz! Welche WS-Form ist normal?
      • Welche WS-Formen machen am häufigsten Beschwerden?
      • Kann ich mir beim Sport einen Buckel antrainieren?
      • Morbus Scheuermann
      • Skoliose
      • Psyche und Körperhaltung
    • Osteoporose
      • Direkt zu Ihrem Problem
      • Einleitung
      • Wird dieses Problem verstanden?
      • Knochenwachstum beim Kind und muskuläre Beanspruchung
      • Welche Belastung stimuliert das Muskelwachstum?
      • Knochenwachstum: Unterschiede zwischen Jungen und Mädchen
      • Ist der Knochenschwund des Erwachsenen normal?
      • Spezifischer Wachstumsreiz für den Knochen
      • Was den Muskel stark macht - macht den Knochen stark!
      • Knochen lebt!
      • Knochenverlust auftrainieren?
      • Welcher Sport stimuliert den Knochen?
      • Krafttraining bei Osteoporose?
      • Osteoporose: Abnormalität, Risikofaktor oder Krankheit?
      • Wann Knochendichte messen?
      • Was sonst kann Knochenschwund auslösen?
      • Sonne und Kalzium für gesunde Knochen
      • Medikamente gegen Osteoporose
    • Wirbelgleiten
      • Direkt zu Ihrem Problem
      • Einleitung
      • Echtes Wirbelgleiten
      • Scheinbares Wirbelgleiten
  • Therapie Angebote
    • Therapie Angebote
    • Therapie Angebote
      • Therapie Angebote
      • Einleitung
      • Zeit für Sie
      • Beratung
      • Untersuchung
    • Kräftigungstherapie
      mit MedX
      • Therapie Angebote
      • Was heißt MedX?
      • Woher kommt MedX?
      • Seit wann arbeitet die Praxis mit MedX?
      • Was ist neu an MedX?
      • Wann MedX - wann nicht?
      • MedX in hohem Alter?
      • MedX - Diagnostik
      • Das Sportler-Kreuz ist selten stark
      • Ziele der MedX-Therapie
      • Kann MedX eine BS - OP verhindern?
      • Ablauf einer MedX-Therapie
      • Ergebnisse der Therapie
      • Langzeitergebnisse der MedX-Therapie
      • Steigt die Kraft, sinkt der Schmerz
      • Was tun nach MedX?
      • Was tun wenn MedX versagt?
      • Risiken und Nebenwirkungen
      • sonstige Therapien
      • Chirotherapie
      • Schmerztherapie?
      • Psychotherapie?
      • Prävention von Rückenschmerzen
      • Prävention
      • Körperhaltung
      • Krafttraining
      • Beweglichkeit
      • Überlastungen
      • Zwangshaltungen
  • Die Praxis
    • Menu
    • Informationen zur Praxis
      • Die Praxis
      • Wichtiger Hinweis
      • Vorsprung durch Spezialisierung
      • Privatpraxis
      • Anschrift, Telefon
      • Öffnungszeiten, Termine
      • Lageplan
      • Lebenslauf Dr. med. Peter Neef

Die Website verwendet Cookies, um Ihnen ein bestmögliches Angebot zu präsentieren. Nähere Informationen und die Möglichkeit, die Verwendung von Cookies einzuschränken finden Sie hier

  • 89077 Ulm |
  • Magirusstraße 45 |
  • Kontakt |
  • Impressum